开立医疗:重视产检 避免“321”的遗憾
深圳2020年3月23日 /美通社/ -- 321,对于大多数人来说可能只是几个普通的数字,但从2011年开始,世界卫生组织就赋予了这三个数字独特的含义:3条21号染色体,3月21日也成为了一个不平凡的日子 -- 世界唐氏综合征日。开立医疗发布科普文章,号召重视产前超声检查,避免“321”的遗憾。
321,对于大多数人来说可能只是几个普通的数字,但从2011年开始,世界卫生组织就赋予了这三个数字独特的含义:3条21号染色体,3月21日也成为了世界唐氏综合征日。开立医疗发布科普文章,号召重视产前超声检查,避免“321”的遗憾。
唐氏综合征又称作“21-三体综合征”,是由染色体异常(多了一条21号染色体)而导致的疾病,是最常见的严重出生缺陷病之一。根据统计,有 60%患儿在妊娠早期即流产,而存活者有明显的智能落后、特殊面容、生长发育障碍和多发畸形,且目前无法治愈。唐氏患儿的出生给家庭和社会带来沉重的经济负担和心理负担,对孩子也是一生的痛苦。
哪类孕妇更容易遇到“321”?
需要明确的是,唐氏综合症是随机发生的,每一个孕期女性,不论是否有遗传病史,新生儿都有患唐氏综合症的可能。以往的医学观点通常认为高龄孕妇怀上唐氏患儿的风险几率较大,但从目前的临床统计结果来看,唐氏患儿的母亲出现了低龄化的趋势,甚至出现23岁的孕妇也被发现孕有唐氏宝宝的病例。因此专家建议所有孕妇都应进行相关的产前检查。
产前检查是指为妊娠期妇女提供一系列的医疗和护理建议和措施,目的是通过对于孕妇和胎儿的监护,早预防和发现并发症,减少其不良影响。由于孕妇的特殊性,超声检查凭借其简便、安全、无辐射、可重复的特点成为了产前影像学检查中的“关键先生”。
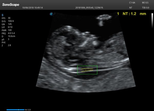
NT检查,染色体异常的提前预警
孕期11周至13周中,中国各级医院均会对孕妇开展超声NT检查。胎儿颈项透明层(nuchal translucency,NT)是指胎儿颈部皮肤与软组织之间最大无回声区。1992年Nicolaides等专家发现,胎儿NT增厚与染色体异常之间有明显相关性,这标志着影像学指标可以用来进行产前筛查。经过临床不断验证,NT被认为是唐氏综合征和其他染色体异常的最常见、最有效、敏感性和特异性最高的超声软标记。
从上面的介绍可以发现,对于产前检查来说,NT值意义重大。然而测量NT值对超声医生来说同样提出了很高的要求:根据英国胎儿基金会(FMF )推荐的测量标准规定,超声医生在测量NT值时应取胎儿正中矢状切面,胎儿呈自然体位,不俯屈或过度仰伸,图像应充分放大至胎头、颈及上胸占据屏幕3/4以上,游标放置于两条高回声线的内侧缘进行测量,这两条高回声线代表皮肤回声及颈椎表面软组织回声,其间部分即为NT,测量NT最宽处取值,并至少测量三次取最大值作为NT值。
NT测量的高要求给中国的产检带来了一定挑战,也对超声检查的设备提出了更高的要求,尤其是在二胎政策逐渐开放后,产科超声的工作压力逐渐增加,如何帮助临床医生快速测量NT值成为了超声设备的一个关键任务。开立医疗开发的Auto NT功能,可帮助医生快速准确获得NT值,在开立超声高分辨无失真前端放大技术的基础上,一键自动测量NT值,减少了人为测量差异,让产检更加简便、快捷、准确。

超声Auto NT功能展示
在我国,每30秒就有一个先天缺陷儿出生,但出生缺陷问题并非不可避免,合理的产前检查和提早干预是减少出生缺陷发生概率的有效方法。虽然目前产前筛查和诊断已经发展到血清学和遗传基因检测层面,但由于技术、价格、时间等多方面因素难以普及到所有产妇,目前临床通常使用超声扫查作为主要手段,当超声提示有高危因素后,再进行进一步的明确诊断。希望每一位准妈妈都能及时参加产前超声检查,拥抱健康的宝宝。
- 卡瓦集团健康口腔新思路论坛,助力打造智慧口腔医疗新浪潮2020-03-23 22:07:26
- 分享“优美”穿戴科技生活 深圳优美创新参展第130届广交会2020-03-23 22:07:26
- 质美中国:品鉴憩水之城,恒洁与设计师相聚深圳大梅沙2020-03-23 22:07:26
- 质美中国:品鉴憩水之城,恒洁与设计师相聚深圳大梅沙2020-03-23 22:07:26
- 质美中国:品鉴憩水之城,恒洁与设计师相聚深圳大梅沙2020-03-23 22:07:26












